Dental Implants
Dentistry has made incredible advancements in recent years. One of the biggest achievements is the ability to replace a missing tooth with technology called a dental implant.
An implant is a small component that is painlessly “implanted” into your mouth. This is usually done by a dental specialist. The implant takes a period of about 3 months to heal under your gums before we put the “tooth” on top, which consists of an abutment and a crown. Dental implants cost much less than the price of fixing damage that can occur to your remaining teeth when a missing tooth is not replaced.
Dr. Kuiper has completed advanced implant training and would love to help you smile proud! If you think that you might need an implant, or are interested in more information, contact us to make an appointment today.
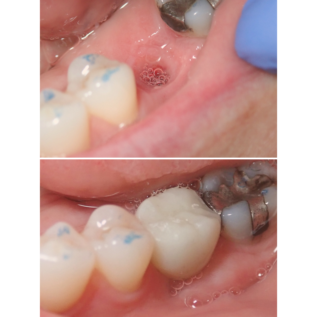
Check out these before and after photos of dental implants completed by Dr. Kuiper:
Stop struggling with loose dentures that move and fall out when you talk or chew! Find out how implant supported dentures can change your life!
Sometimes patients need more than one tooth fixed. Did you know that implants can replace multiple teeth at a time? Check out today’s Tuesday Tooth Talk to find out how!
In this week’s Tuesday Tooth Talk, Dr. Kuiper is going to discuss single tooth implants and how they can be a solution for problems with an isolated missing tooth!
NEW SERIES KICKOFF!! Today Dr. Kuiper is starting our September series on dental implants, this is one you won't want to miss!
Dental implants can change the way you eat forever! Dental implants are the only dental restoration option that maintains natural bone and actually helps stimulate growth of bone.